CONCEPT
見た目の美しさだけでなく、噛みやすさや耐久性にも配慮した“機能美”という考え方
本当に良い歯科治療とは言えません。
私たちは「機能美」という考え方のもと、
見た目の美しさだけでなく、
噛みやすさ、耐久性、メンテナンス性まで含めたトータルな美しさを追求しています。
10年以上にわたる大学病院での経験と、
最新の医療設備を活かし、
お一人おひとりの口腔環境やライフスタイルに合わせた、
質の高い審美治療をご提供いたします。


当院は、先進的なインプラント治療や審美治療を高い水準で提供する総合歯科クリニックです。
日本補綴歯科学会の専門医が在籍しており、見た目の美しさはもちろん、長期的な機能性・噛み合わせの安定性までを視野に入れた治療を行っています。
全国でも数少ない「日本補綴歯科学会専門医」が在籍。難症例にも対応可能な高度な治療体制
当院の院長は、全国の歯科医師の中でもわずか約1%しか取得できない「日本補綴歯科学会専門医」という、全国でも数少ない高度な資格を所有しています。
補綴専門医は、ただ悪い部分だけを治すのではなく、噛み合わせ・骨格・顎の動き・見た目・長期的な予後まで総合的に診断できる、補綴治療のスペシャリストです。
大学病院レベルの症例経験と高度な学術基準を満たした歯科医師だけが取得できる資格であり、一般の歯科医院では難しいとされる 噛み合わせの崩壊・全顎治療・複雑なインプラント症例などにも対応できるのが特徴です。
「どこに行っても治療が難しいと言われた」「噛み合わせの問題を根本から見てほしい」そんな方にも、専門医だからこそできる精密で長持ちする治療計画をご提供できます。
根本原因にアプローチする
「総合的な治療計画」
当院では、痛いところだけをその場しのぎで治すのではなく、なぜその症状が起きたのか?を突き詰め、口腔内全体のバランスから考える「根本治療」を重視しています。
たとえば、歯が欠けた、痛むといったトラブルでも、その原因が「かみ合わせ」や「歯列不正」に起因していることもあります。
補綴専門医が中心となって、原因と結果の両面にアプローチした治療計画を立案し、長期的な安定と再発防止を目指します。
インプラント治療
- 先進設備 × 科学的根拠による、安全性の高い治療 -
当院では、CTなどの先進設備と科学的根拠に基づいた診断により、長く安心して使えるインプラント治療を行っています。
- CTによる精密診断
- かみ合わせも考慮した治療計画
- 補綴専門医が担当。難しい症例にも対応
こうした設備とノウハウにより、高い成功率と安全性を両立させたインプラント治療を実現しています。
削らず、美しく整える “矯正 × セラミック治療” の治療選択肢
- 無理のない、削らない治療 -
「歯をあまり削りたくない」「でも見た目も整えたい」そんな方のために、矯正とセラミック治療を組み合わせた方法です。先に歯並びを整えることで、必要以上に削らず、自然でキレイな見た目に仕上げることができます。噛み合わせも良くなるため、治療も長持ちしやすいのが特徴です。
- 歯を必要以上に削らずに治療したい方
- 歯並びが原因で補綴が難しいと言われた方
- 見た目も機能も両立したい中高年層の方
このような方に、当院の矯正×セラミック治療のハイブリッド治療は特におすすめです。
※補綴(ほてつ)とは、歯が欠けたり、失われた場合に、人工物でその機能や形態を補う歯科治療のことです。
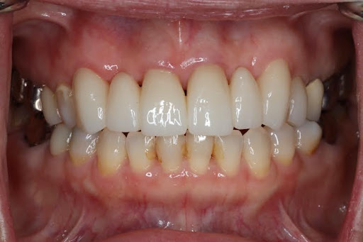
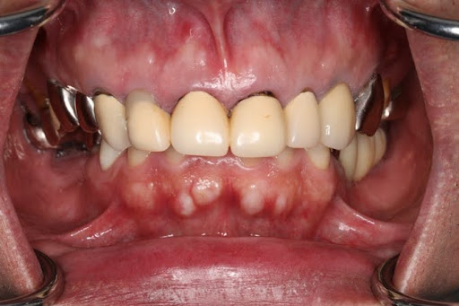
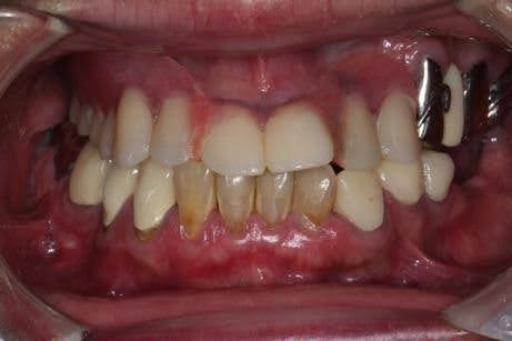
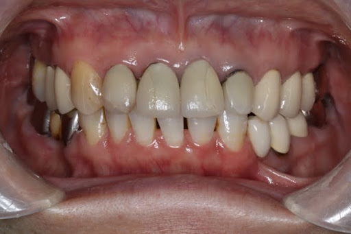
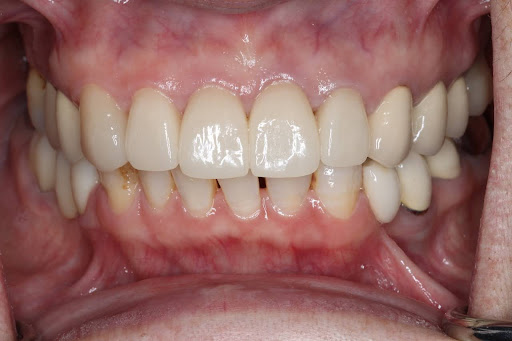
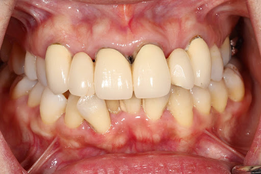
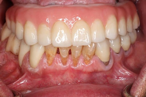
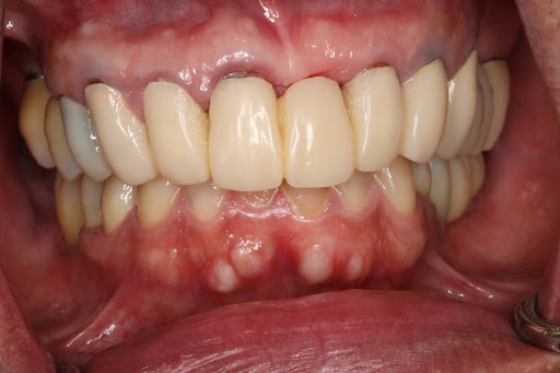
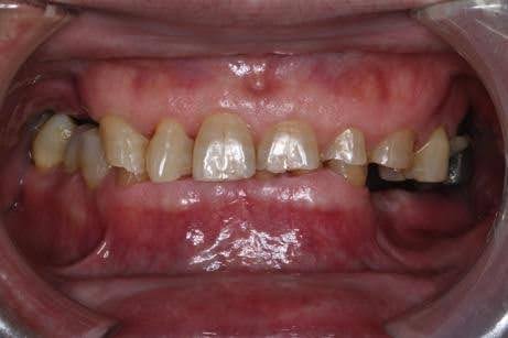
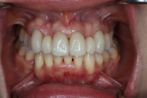
症例
アートデンタル武蔵小山の特徴
大学病院で10年以上の経験
高度な治療を可能にする最新設備
症例に基づいた専門性の高い治療
「見た目が美しい治療は長持ちする」
という“機能美”へのこだわり
一人ひとりに丁寧に向き合う診療スタイル


